医院数字区 - 外科 - 神经外科 - 脑积水 - 检查

常用于检查脑积水的方法

常用于检查脑积水的方法是什么?脑积水这种疾病虽然我们都不陌生,但是进行自主判断还是有一定局限性的,毕竟大家都是缺少这方面医学常识的,但是为了保证及时的发现和治疗,关于脑积水的检查方法需要了解清楚,那么常用于检查脑积水的方法是什么呢?

与成人相比,儿童脑积水的临床表现是根据病人的发病年龄而变化,在婴儿急性脑积水,通常颅高压症状明显,骨缝裂开,前囟饱满,头皮变薄和头皮静脉清晰可见,并有怒张,用强灯光照射头部时有头颅透光现象,叩诊头顶,呈实性鼓音即“破罐音”称Macewen征,病儿易激惹,表情淡漠和饮食差。

2.腰椎穿刺

侧腔室注射中性酚红1m1,2~12分钟内做腰椎穿刺,CSF可见酚红,提示系非阻塞性脑积压水。若20分钟CSF仍未见酚红出现,提示为阻塞性脑积水。

3.脑室造影

用过滤的氧气缓缓地注射于脑室内,然后做X线检查,可观察到脑室扩大及大脑皮层变薄。若大脑皮层厚度在2cm以上,并且脑积水能够被解除,提示患者智力可望恢复。同时脑室造影也可帮助确定阻塞部位,或发现颅内肿瘤。脑室气体或水溶性碘剂造影,能显示脑室系统形态和大小,以及大脑皮质厚度;

4.头颅二维超声检查

可见脑中线波无移位,而脑室系统扩大;

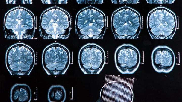
5.CT或MRI扫描

见脑室系统明显扩大,有时能查出脑积水原因。

关于脑室的信息

脑室周围白质软化,是一种脑白质疾病,会导致脑白质的囊性坏死造成神经元缺失,同时伴有弥漫性神经胶质增生引发轴突损伤,进而引发脑瘫
婴儿脑积水脑室腹腔分流手术并发症:分流管腹腔端包裹
小儿脑瘫是小儿时期常见的中枢神经障碍综合征,给患儿身心带来极大伤害,也给患儿家庭带来了不小的冲击,如何治疗脑瘫成了患儿家长们最关心的问题,而治疗一定要基于准确的检查和诊断,常见的大脑性瘫痪脑室检查方法如下。
脑积水倘若病情非常严重,就会引起整个脑室的功能都受到伤害,引起一些诸如强烈头痛以及恶心呕吐等不良症状的发生,引起患者经常性昏迷以及意识丧失,甚至还有可能会引起患者引起一些诸如脑出血、脑肿瘤以及脑梗死等等严重后果。
脑积水的主要治疗方法之一就是外科手术,患者可以根据自身病症选择做VP分流术或者脑室心房分流术,也可以做第三脑室底造瘘术及其它类型的手术。不过手术创伤比较大,建议术后注意观察不良反应,采取后续措施处理。
脑瘫是一种发病率极高的疾病,在我们的日常生活中也比较常见,特别是婴幼儿,发病率特别高,但是很多人对这种疾病并不是非常的了解,因为它的病因有很多种,我们去医院检查的时候,脑瘫脑室检查有哪些?下面小编和大家来一起了解一下。

医院数字区
欢迎搜索"医院数字区"

  • 全国医院综合排行榜
  • 全国专科医院综合排行榜
  • 全国专科医院声誉排行榜
  • 东北十大专科医院声誉排名
  • 东北医院综合实力前十排名
  • 华北十大专科医院声誉排名
  • 华北医院综合实力前十排名
  • 华东十大专科医院声誉排名
  • 华东医院综合实力前十排名
  • 华南十大专科医院声誉排名
  • 华南医院综合实力前十排名
  • 华中十大专科医院声誉排名
  • 华中医院综合实力前十排名
  • 西北十大专科医院声誉排名
  • 西北医院综合实力前十排名
  • 西南十大专科医院声誉排名
  • 西南医院综合实力前十排名
  • 中国最佳医院排行榜
  • 中国100强科研学术医院
  • 病理科医院排名
  • 传染感染医院排名
  • 耳鼻喉科医院排名
  • 放射科医院排名
  • 呼吸科医院排名
  • 风湿病医院排名
  • 妇产科医院排名
  • 骨科医院排名
  • 精神医学医院排名
  • 口腔科医院排名
  • 麻醉科医院排名
  • 泌尿外科医院排名
  • 内分泌科医院排名
  • 皮肤科医院排名
  • 普通外科医院排名
  • 神经内科医院排名
  • 肾脏病医院排名
  • 神经外科医院排名
  • 消化病医院排名
  • 小儿内科医院排名
  • 小儿外科医院排名
  • 心血管病医院排名
  • 心外科医院排名
  • 胸外科医院排名
  • 血液学医院排名
  • 眼科医院排名
  • 整形外科医院排名
  • 肿瘤学医院排名
  • 老年医学医院排名
  • 康复医学医院排名
  • 检验医学医院排名
  • 烧伤科医院排名
  • 核医学医院排名
  • 超声医学医院排名
  • 急诊医学医院排名
  • 重症医学医院排名
  • 临床药学医院排名
  • 生殖医学医院排名
  • 变态反应医院排名
  • 健康管理医院排名
  • 结核病医院排名
  • 全科医学医院排名
  • 中国医院排名

    三甲医院一览表